Клиника имплантации в Буйнакске
Территория красивой улыбки
г. Буйнакск, мкр. Дружба, 3в
(напротив 2-го дома)
Пн-вс: с 9.00 до 21.00
Среднее время ответа 15 секунд
Имплантация с пожизненной гарантией, день-в-день, без боли и отеков, по честной цене
Имплант + установка
19000
За 6 лет установили более 6 000 имплантов с приживаемостью более 98%
Имплантация по международному протоколу индивидуально для каждого пациента
Осмотр и консультация врача высшей категории, эксперта по имплантологии
Предложим три варианта стоимости под ваш бюджет
27 000₽
Используем самое современное оборудование и проводим лечение по самым современным протоколам
Используем инновационные технологии, признанные мировыми экспертами в области стоматолгии
Действует внутренняя рассрочка 0% без участия банка
Имплантация любой сложности под ключ за 1 день и пожизненной гарантией
Алиев Нухкади Алиевич
Стоматолог-хирург-имплантололог
Установил более 1000 имплантов
Бесплатная консультация имплантолога включает:
  • Осмотр и комплексную оценку состояния полости рта пациента
  • Выяснения ваших ожиданий от имплантации и ответы на ваши вопросы
  • Подробный рассказ врача обо всех необходимых процедурах
  • Подбор протокола имплантации, который подходит именно вам и выбор одного из трех вариантов стоимости под ваш бюджет
Запишитесь на бесплатную консультацию и получите заключение от специалиста
Оставьте свой номер телефона, мы перезвоним и запишем на консультацию в удобное время
Как проходит имплантация
  • Консультация
    имплантолога
    • выбор подходящего протокола имплантации и составление плана лечение
    • при необходимости проведение подготовки перед имплантацией ( лечение, санация, ортодонтическое лечение )
    1
  • Хирургический
    этап
    • при необходимости проводятся операции перед имплантацией - удаление, синус-лифтинг и т.п.
    • установка импланта
    • полное заживление в течении двух-шести месяцев
    2
  • Ортопедический
    этап
    • изготовление коронки или протеза в зуботехнической лаборатории
    • установка абатмента для фиксации коронки
    • фиксация коронки
    3
Как проходит имплантация
  • Консультация
    имплантолога
    • выбор подходящего протокола имплантации и составление плана лечение
    • при необходимости проведение подготовки перед имплантацией

    ( лечение, санация, ортодонтическое лечение )

    1
  • Хирургический
    этап
    • при необходимости проводятся операции перед имплантацией - удаление, синус-лифтинг и т.п.
    • установка импланта
    • полное заживление в течении двух-шести месяцев
    2
  • Ортопедический
    этап
    • изготовление коронки или протеза в зуботехнической лаборатории
    • установка абатмента для фиксации коронки
    • фиксация коронки
    3
Техники имплантации для вашей совершенной улыбки
Одномоментная имплантация -
Процедура проводится в течении 25-30 минут и обычно легко переносится пациентами
технология имплантации, при которой имплант вживляется в десну сразу после удаления зуба
Наши врачи рекомендуют одномоментную имплантацию при:
ношении съемного протеза
потере одного или нескольких зубов
улучшение крепления протеза
замена неудачных протезов
экстренная установка импланта при удаление зуба
В чем преимущества одномоментной имплантации
Сокращение времени лечения
Удаление и имплантация производятся одновременно, что значительно сокращает время лечения
01
Моментальная эффективность
Коронку возможно установить уже в течении 7 дней, что позволяет добиться эффективности и эстетики в короткие сроки
02
Сокращение времени восстановления
За счет проведения процедуры в один этап время восстановления пациента значительно сокращается
03
Отсутствие осложнений
Риск появления осложнений значительно снижается за счет того, что операция проводится в один этап
04
Вы можете задать вопросы имплантологу в Whatspp!
  • мы подробно ответим на ваши вопросы
  • подберем лечение под ваш бюджет
  • учтем все ваши пожелания
Отсроченная
имплантация -
представляет собой установку имплантата после лечения и заживления лунки зуба, которая осуществляется в случае необходимости полного заживления или дополнительной подготовки кости к имполантации
Наши врачи рекомендуют отсроченную имплантацию при:
при необходимости дополнительной подготовки кости
ситуации, когда костная ткань недостаточно плотная
присутствии хирургических осложнений
необходимости завершения ортодонтического этапа
необходимость заживления после удаления
Подготовка костной ткани
Больше времени для подготовки кости к имплантации для успешной имплантации
01
Заживление костной ткани
Больше времени для заживления костной ткани, в частности в случае, когда у пациента выявлена недостаточная плотность кости
02
Выбор коронок и протезов
Период заживления позволяет более тщательно выбрать и изготовить коронки, в соответствии с предпочтениями пациента
03
Отсутствие осложнений
Ожидание периода заживления снижает вероятность осложнений и увеличивает успешность приживаемость импланта
04
В чем преимущества отсроченной имплантации
Вы можете задать вопросы имплантологу в Whatspp!
  • мы подробно ответим на ваши вопросы
  • подберем лечение под ваш бюджет
  • учтем все ваши пожелания
Выбор между технологиями имплантации определяется индивидуальными особенностями пациента, его медицинским и стоматологическим анамнезом, а также предпочтениями врача и самого пациента


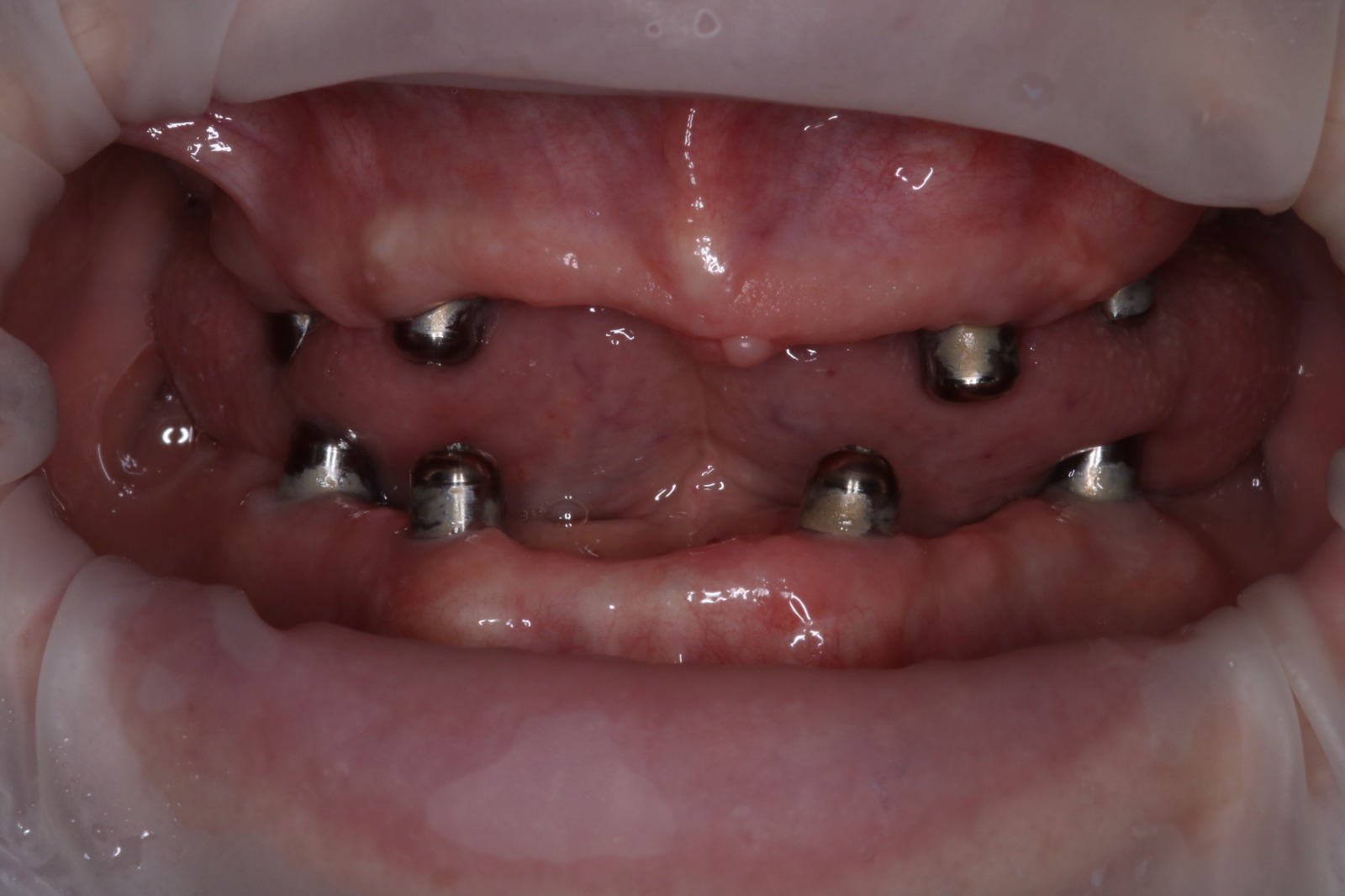
Технология All-on-4 и All-on-6
All-on-4
Установка протезоа на четыре импланта - основа процедуры имплантации зубов All-on-4. Современные методы позволяют приблизительно через 1-3 дня после вживления имплантов в челюсть приступить к установке адаптированной протезной конструкции, готовой для жевания пищи умеренной твердости
«есть ситуации, при которых возможна установка протеза непосредственно после установки имплантов и пациент может рассчитывать на немедленное восстановление функциональности и эстетики зубов»
Алиев Нухкади Алиевич
Стоматолог-хирург-имплантолог
Установил более 1000 имплантов
Проводит имплантацию, удаление, синус-лифтинг, пластику мягких тканей
Наши врачи рекомендуют All-on-4 при:
отсутствии костной ткани
отсутствии всех зубов на одной челюсти
необходимости уменьшить хирургическое вмешательство
необходимости уменьшения времени лечения
В чем преимущества технологии All-on-4
Быстрое восстановление
Технология позволяет вернуть эстетику и функциональность улыбки уже в день операции
01
Краткий срок лечения
Процедура имплантации может быть проведена в один день, оптимизируя время для пациентов. Применение метода all-on-4 позволяет восстановить функцию жевания и достичь красивой улыбки на быстром временном отрезке
02
Незначительная потеря костной массы
Точечное вживление имплантов в участки кости с достаточным количеством костной ткани позволяет пациентам получить «новые» зубы без необходимости проведения дополнительных операций по наращиванию кости
03
Постоянная фиксация
Имплантаты остаются стабильными, что способствует улучшению комфорта и эффективности при жевании и разговоре
04
Нет ощущения инородного тела.
Протезная конструкция удобна и комфортна в использовании: надежно фиксируется, не вызывает раздражения слизистой и требует обычного ухода за зубами
05
Вы можете задать вопросы имплантологу в Whatspp!
  • мы подробно ответим на ваши вопросы
  • подберем лечение под ваш бюджет
  • учтем все ваши пожелания
All-on-6
Установка протеза на шесть имплантов - основа процедуры имплантации зубов All-on-6. Современные методы позволяют приблизительно через 1-3 дня после вживления имплантов в челюсть приступить к установке адаптированной протезной конструкции, готовой для жевания пищи умеренной твердости
Наши врачи рекомендуют All-on-6 при:
при проблемах со съемными протезами
отсутствии всех зубов на одной или двух челюстях
необходимости восстановления жевательной функции
проблемах с деснами
В чем преимущества технологии All-on-6
Короткие сроки

Один этап имплантации All-on-6 предполагает выполнение всех этапов процедуры за один прием. В течение одной сессии пациенту могут быть удалены зубы, установлены имплантаты и зафиксирован зубной протез.
01
Минимальная травматичность
Обычно для внедрения имплантатов используются малоинвазивные техники, которые не требуют крупного разреза десны.
02
Долгий срок службы имплантатов
При правильном уходе имплантационные системы могут служить пациенту не менее 15-20 лет.
03
Превосходная эстетика
Красота и функциональность современных имплантатов часто превосходят ожидания пациентов благодаря изящным цветовым переходам на коронках и идеальному контуру десны
04
Нет ощущения инородного тела
Протезная конструкция удобна и комфортна в использовании: надежно фиксируется, не вызывает раздражения слизистой и требует обычного ухода за зубами.
05
Максимальная точность
Перед проведением операции проводится комплексное исследование, которое помогает выявить особенности структуры зубно-челюстного аппарата и разработать детальный план лечения.
06
Вы можете задать вопросы имплантологу в Whatspp!
  • мы подробно ответим на ваши вопросы
  • подберем лечение под ваш бюджет
  • учтем все ваши пожелания
Как и при выборе между другими технологиями применение технологии All-on-6 определяется индивидуальными особенностями пациента, его медицинским и стоматологическим анамнезом


Нас рекомендуют друзьям и родственникам
У нас работают имплантологи высшей категории с опытом более 10 лет
Отзывы наших пациентов
Провели более 5000 имплантаций, в том числе более
1 500 по методике All-on-4/All-on-6
Хочу поделиться впечатлениями о клинике, которая мне очень понравилась. Просторное и светлое помещение с хорошо оборудованными кабинетами современной техникой. Замечательное отношение к клиентам и высокое качество работы. Мне были даны ценные рекомендации по уходу за полостью рта, а также подобрано эффективное средство для гигиены. Я полностью удовлетворена своим выбором этой клиники.
Хочу выразить огромную благодарность всему коллективу клиники "Циркон". Это профессионалы своего дела, которые отличаются вежливостью и заботой о клиентах. Они не навязывают лишние услуги, а внимательно слушают пожелания пациентов. На каждом этапе лечения я получала поддержку и теплые слова. Специалисты клиники - серьезные профессионалы, но в то же время позитивные и легко находящие общий язык. Я обращалась к нескольким врачам с разными проблемами, и каждый из них оставил только положительные впечатления. Оборудование современное, кабинеты светлые и уютные. Я чувствовала себя очень комфортно и уютно.
Я обратился в клинику из-за зубной боли. Персонал был очень вежлив и компетентен, оформили меня быстро и провел в уютный кабинет. Врач быстро определил причину боли - глубокий кариес, и провел лечение безболезненно. Зуб был спасен! Огромная благодарность!
«
»

Запишитесь на бесплатную консультацию и диагностику
к врачам высшей категории, экспертам имплантации
На консультации врач:

осмотрит и оценит текущее состояние полости рта
предложит план лечения в соответствии с вашими пожеланиями и бюджетом
подробно расскажет обо всех необходимых манипуляциях
ответит на все возникающие вопросы о процедурах и технологиях
подберет технологию, подходящую именно вам и предложит 3 варианта лечения в соответствии с вашим бюджетом
Османов Магомед Садрутдинович
Хирург, имплантолог, ортопед
Вылечил более 10 000 пациентов
Появились вопросы? Пишите в Whatspp!
Запишитесь на бесплатную консультацию и получите заключение от специалиста
Магомедов Насрулла Магомедрасулович
Стоматолог-терапевт
Вылечил более 4 000 пациентов
Омаров Муслим Исмаилмагамедович
Стоматолог-хирург
Стаж более 9 лет
Закарьяева Написат Арасанагаевна
Стоматолог-хирург, парадантолог
Вылечила более 4 000 пациентов
Алиев Нухкади Алиевич
Стоматолог-хирург-имплантололог
Установил более 1000 имплантов
Успешно используем импланты Osstem (Южная Корея)
01
Имплантаты от компании Osstem широко известны по всему миру и успешно применяются докторами более чем 70 стран
02
Имплантаты Osstem - это продукт, которому доверяют стоматологи всего мира
03
Технология изготовления имплантов Osstem доведена до совершенства
04
Приживаемость имплантантов Oсстем – более 98 %
05
Импланты Osstem очень прочные и при правильном уходе могут прослужить всю жизнь
Импланты Osstem имеют лучшее соотношение цена-качество среди других популярных имплантов
06

Импланты Osstem имеют международные сертификаты качества
В нашей клинике после имплантации выдаются документы, подтверждающие качество импланта.
Что происходит, если откладывать имплантацию
  • Отсутствие одного или нескольких зубов приводит к смещению здоровых соседних зубов
  • Могут изменятся черты лица, появляться заломы и морщины, изменяется овал лица
  • Длительное отсутствие одного или нескольких зубов приводит к появлению разных речевых дефектов
  • После выпадения или удаления зуба происходит деформация и истончение костной ткани, что приводит к её атрофии
  • Отсутствие одного или нескольких зубов приводит к постепенному разрушению здоровых зубов зубного ряда из-за возрастания нагрузки
  • При нарушении жевательной функции ухудшается процесс переваривания и усвоения пищи
Что происходит, если откладывать имплантацию
  • Отсутствие одного или нескольких зубов приводит к смещению здоровых соседних зубов
  • Могут изменятся черты лица, появляться заломы и морщины, изменяется овал лица
  • Длительное отсутствие одного или нескольких зубов приводит к появлению разных речевых дефектов
  • После выпадения или удаления зуба происходит деформация и истончение костной ткани, что приводит к её атрофии
  • Отсутствие одного или нескольких зубов приводит к постепенному разрушению здоровых зубов зубного ряда из-за возрастания нагрузки
  • При нарушении жевательной функции ухудшается процесс переваривания и усвоения пищи
ДО
ПОСЛЕ
ДО
ПОСЛЕ
01
06
Запишитесь на первичную консультацию и диагностику к врачам высшей категории, экспертам имплантации
и получите подробный план лечения в 3-х вариантах, под любой бюджет
Из чего состоит план лечения:
сбор информации о текущем состоянии полости рта и здоровья пациента
расчет стоимости имплантов и, при необходимости, дополнительных процедур
Появились вопросы? Пишите в Whatspp!
Для нас важно мнение каждого пациента
Посещение стоматологической клиники оставило исключительно положительное впечатление. Дружелюбный персонал, современное оборудование и чистота помещений создают приятную атмосферу. Врачи демонстрируют высокий профессионализм. Обратившись с острой болью, мне провели качественную диагностику и тщательно выполнели лечение. Я полностью удовлетворен результатом, а доступные цены приятно удивили. Я горячо рекомендую эту стоматологическую клинику всем, кто ценит качество и сервис.
«
Наши врачи - специалисты со стажем более 10 лет
Впечатление от посещения стоматологической клиники было исключительно положительным. Дружелюбный персонал, современное оборудование и чистота помещений создают уютную атмосферу. Врачи проявили высокий уровень профессионализма. Обратившись с острой болью, мне провели качественную диагностику и тщательно пролечили. Результат меня полностью удовлетворил, а доступные цены были приятным сюрпризом. Я без сомнения рекомендую эту стоматологическую клинику всем, кто ценит качество и хороший сервис.
Долго мне не удавалось принять решение об обращении к стоматологу. Хотя боли не пугают, процедуры всегда вызывали дискомфорт. По совету близких я пошла в клинику, где лечились и мои родители, и вся семья моего брата. Понравилось, что врачи внимательно выслушивают мои ощущения. Обстановка в клинике и в кресле у врача очень комфортная. Прошла гигиеническую процедуру. Сейчас начала постепенное плановое лечение. План лечения составили сразу, что помогает более осознанно планировать бюджет. Планирую вести туда и своих детей после решения своих проблем.
Имплантация любой сложности под ключ за 1 день и пожизненной гарантией
«
Ещё в день осмотра вы сможете восстановить зубы без боли и стресса, а через 2 часа возобновить свои дела
в нашей клинике мы заботимся о комфорте каждого пациента
При процедуре используем современную анестезию, обеспечивая комфорт пациенту и эффективность выполнения операции.
Перед уколом на десну пациента наносим специальный обезболивающий гель и используем для укола только ультратонкую иглу, благодаря чему укол ощущается как прикосновение.
После приема каждый пациент получает индивидуальные рекомендации от врача.
Наши врачи беспокоятся о психологическом состоянии пациентов во время процедуры, рассказывают и поясняют каждый свой шаг, отвечают на ваши вопросы.
Болевые ощущения при имплантации не сильнее чем при удалении зуба!
Используем при имплантации импланты только проверенных производителей
Пожизненная гарантия
Приживаемость 99,8%
Osstem ( Южная Корея)
  • Отличное соотношение цена-качество
  • Выдерживают большие нагрузки
  • Легко устанавливаются
  • Не вызывают аллергию
Чаще всего используется в классических случаях
Пожизненная гарантия
Приживаемость 99,8%
Dentium( Южная Корея)
  • Универсальны для различных технологий имплантации
  • Относятся к имплантам премиум-класса
  • Могут применятся при имплантации с немедленной нагрузкой
Высокая биосовместимость с тканями челюсти
Пожизненная гарантия
Приживаемость 99,8%
Straumann ( Швейцария)
  • Европейское качество
  • Имеет доказанную высокую надежность и приживаемость
  • Изготовлен из титана с добавлением циркония
Для любых показаний и клинических ситуаций
Точная стоимость лечения зафиксирована в договорое
В договоре указываем сроки лечения и полную стоимость, которая остается неизменной
стоимость может изменится только при необходимости проведения дополнительных услуг и по согласованию с пациентом
действует внутренняя рассрочка без участия банка
Подскажем как оформить налоговый вычет на лечение зубов у нас в клинике
Бесплатная консультацию в Whatspp!
13% НДФЛ
г. Буйнакск, мкр. Дружба, 3в
(напротив 2-го дома)
Пн-вс: с 9.00 до 21.00
г. Буйнакск, мкр. Дружба, 3в
(напротив 2-го дома)

Пн-вс: с 9.00 до 21.00
Любая информация, предоставленная на данном сайте,
в частности, касающаяся характеристик, наличия,
стоимости объектов носит исключительно
информационный характер и ни при каких условиях
не является публичной офертой, определяемой
положениями стати 437 ГК РФ

ИМЕЮТСЯ ПРОТИВОПОКАЗАНИЯ. НЕОБХОДИМА КОНСУЛЬТАЦИЯ СПЕЦИАЛИСТА

Лицензия Л041-01172-05/01454791, выдана Министерством здравоохранения Республики Дагестан, 21.10.2024
368205, Россия, Республика Дагестан, Буйнакск, мкр. Дружба, д.3В
Лицензии клиники
Made on
Tilda